Biologische und klinische Forschung

Naturwissenschaftler – wie zum Beispiel Mediziner, Biologen und Ingenieure – arbeiten bei Consumer Brands zusammen mit Forschern an Hochschulen und anderen Forschungseinrichtungen. Für innovative Produkte realisieren wir gemeinsam Forschungsprojekte, führen Machbarkeitsstudien durch und entwickeln neue Methoden.

Alternative Methoden sind für unsere Produktinnovationen von entscheidender Bedeutung.

Schon seit Mitte der 1980er Jahre beschäftigt sich Henkel erfolgreich mit sogenannten Alternativmethoden – Methoden, mit denen die Wirkungen von Inhaltsstoffen und Produkten auf biologische Systeme sehr detailliert untersucht werden. Dazu werden beispielsweise menschliche Zellen in vitro (d. h. im Reagenzglas) zum Wachstum angeregt und deren Verhalten in Gegenwart von Rohstoffen oder Produkten untersucht.

Durch modernste molekularbiologische Methoden ist es den Experten möglich, die Zellen bis ins kleinste Detail zu analysieren und so ein tiefes Verständnis der Produktwirkungen zu erarbeiten. Wurden früher nur „einfache“ Zellkulturen untersucht, ist es den Experten bei Henkel in mehr als drei Jahrzehnten der Forschung gelungen, komplexe Gewebemodelle zu entwickeln, um so noch näher an der Realität zu forschen.

Für Modellsysteme der Haut werden zum Beispiel Hautzellen in speziellen Brutschränken vermehrt und anschließend in besondere Kulturgefäße überführt. Die Forscher haben herausgefunden, welche Signale dazu führen, dass Zellen sich zusammenlagern, um eine neue funktionsfähige Haut zu bilden. Nach mehreren Tagen ist das Hautmodell fertig entwickelt und kann für Untersuchungen eingesetzt werden. Die Wissenschaftler unterscheiden dabei zwischen Vollhautmodellen – bestehend auf Lederhaut (fachlich: Dermis) und Oberhaut

"Diese und ähnliche Gewebemodelle werden verwendet, um die Verträglichkeit von Inhaltsstoffen für die Haut oder das Auge zu bestätigen. Ein aktuelles Projekt nutzt Hautgewebemodelle für die Erforschung erbgutverändernder Eigenschaften von Chemikalien (fachlich: Genotoxizität). Ein weiterer Forschungsschwerpunkt liegt im Bereich der Hautsensibilisierung.

Das in den Henkel-Laboren produzierte Phenion® Full-Thickness Skin Model ist ein Vollhautmodell und verfügt neben der komplett ausgebildeten Oberhaut auch über die darunterliegende Lederhaut. Dieses Hautgewebemodell ist kommerziell erhältlich. Bitte kontaktieren Sie uns, um weitere Informationen zu erhalten:

Kontakt



Haarfollikelanalyse

Haarfollikelanalyse


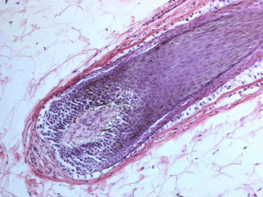
Die Haarwurzel

Die Haarwurzel


Ein Blick auf die Kopfhaut

Ein Blick auf die Kopfhaut


Dermale Papille in der Haarwurzel

Dermale Papille in der Haarwurzel

Wir verstehen die Wirkung unserer Kosmetikprodukte bis ins Detail.

Anhand der nachfolgenden Beispiele wird deutlich, dass biologisches Wissen sowie die Verfügbarkeit von Gewebemodellen für die Entwicklung von Kosmetikprodukten von großer Bedeutung sind. Diese Modelle ähneln menschlichen Geweben in sehr vielen Aspekten und erlauben es uns, innovative Wirkstoffe für unsere Produkte detailliert zu charakterisieren und zu erforschen. 

Die Haut – zwei Quadratmeter, die vor dem Rest der Welt schützen 

Die Haut, die Schutzhülle unseres Körpers, ist ebenso Kontaktstelle wie auch Barriere zur Außenwelt. Rund zwei Quadratmeter umfasst das größte Organ des Menschen und macht dabei circa 16 Prozent des Körpergewichts aus. Dieses komplexe Wunderwerk der Natur schützt vor UV-Strahlung, Hitze, Wasser- und Wärmeverlust sowie vor dem Eindringen von Keimen wie Bakterien und Pilzen.

Unsere Haut lässt sich grob in drei Schichten unterteilen:

  1. Die Oberhaut (fachlich: Epidermis) wird fortlaufend erneuert: In rund zwei Wochen wandern tiefliegende Zellen an die Oberfläche und werden dort zu Hautschuppen, die abgestoßen werden.
  2. In der Lederhaut (fachlich: Dermis) sorgen zum Beispiel Kollagen- und Elastinfasern für die Elastizität der Haut. Hier entstehen Falten.
  3. Die Unterhaut (fachlich: Hypodermis) beinhaltet lockeres Bindegewebe und die Ansammlungen von Fettzellen – die sogenannten Adipozyten.

Wie alles, was lebt, unterliegt auch die Haut der Alterung und ihre Leistungen nehmen mit der Zeit langsam ab. Mit modernen Kosmetikprodukten unterstützen wir die Haut bei ihren vielfältigen Aufgaben und wirken mit neuartigen Wirkstoffen sowie deren Kombinationen den Auswirkungen der Hautalterung effektiv entgegen.

Unser detailliertes Verständnis der Haut in Kombination mit unseren Hautgewebemodellen ermöglicht es uns, hochwirksame Hautkosmetik zu entwickeln. Auf diese Weise gehen wir auf die speziellen Bedürfnisse der Haut ein und bieten jedem Verbraucher geeignete Hautpflegeprodukte, deren Wirksamkeit in klinischen Studien belegt ist.

Die Haare – Fasern mit besonderer Ausstrahlung

Im Durchschnitt besitzt der Mensch rund 100.000 Haare. Bei einer Dicke von 50-100 µm werden sie bis zu einem Meter lang. Der sichtbare Teil des Haares ist kein lebendes Gewebe mehr. Sein Wassergehalt liegt mit circa 10 Prozent erheblich niedriger als bei der Haut. Tief in der Haut verankert,sitzen die Haarwurzeln – komplexe „Mini-Organe“, die aus verschiedenen Zelltypen aufgebaut sind, um die sichtbaren Haarfasern zu produzieren.

Mit der Erforschung der biologischen Prozesse in den Haarwurzeln gelingt es uns, Haarkosmetik zu entwickeln, die nicht nur die Haarfaser pflegt, sondern auch den lebendigen Teil des Haares – die Haarwurzel – in seinen vielfältigen Funktionen unterstützt. Der Einsatz eines neu entwickelten Gewebemodells der Haarwurzel erlaubt uns die Erforschung optimaler Wirkstoffe und deren Kombinationen.

Der Mund – Ort des Lächelns

Die Mundhöhle ist ein weiterer Teil des menschlichen Körpers, der mit unseren Kosmetikprodukten – wie zum Beispiel Zahnpasten und Mundwässern – gepflegt wird.

Bakterien finden im Mundraum optimale Lebensbedingungen. Bereits in den ersten Minuten nach dem Zähneputzen besiedeln die Bakterien am liebsten den Zahnfleischsaum und bilden hier einen Biofilm (fachlich: Plaque). Wird dieser nicht durch eine ausreichende Mundhygiene in Schach gehalten, kann das unangenehme Probleme für Zahn und Zahnfleisch mit sich bringen, die sich auch auf den ganzen Körper auswirken können. Daher ist eine gute Mund- und Zahnreinigung entscheidend. Zusätzlich zur klassischen Reinigungsleistung sind weitere positive Effekte, wie zum Beispiel die Stärkung des Zahnfleisches, von Bedeutung für die Anwender.

Misurazione del sebo sulla fronte

Bestimmung des Fettgehalts auf der Stirnhaut

Test di compatibilità della pelle

Hautverträglichkeitstest

Misurazione dei pori della pelle

Vermessung von Hautporen

Analisi della pelle con il microscopio confocale a scansione laser

Blick in die Haut mittels konfokaler Laserscanmikroskopie


Messung der Hautfeuchte

Messung der Hautfeuchte


Hochauflösende, standardisierte Gesichtsphotographie

Hochauflösende, standardisierte Gesichtsphotographie

Misurazione dell’elasticità della pelle

Messung der Hautelastizität

Unsere Kosmetikprodukte werden mit einem Höchstmaß an Qualität entwickelt

Bevor ein Kosmetikprodukt von uns an die Verbraucher geht, führen wir umfassende klinische Studien durch, um Produktleistung und Verträglichkeit abschließend zu bewerten.

Grundlage für alle unsere Studien sind international anerkannte Standards sowie die Bewertung durch unsere Studienteilnehmer, die sogenannten Probanden. Bevor ein Proband an einer Studie teilnimmt, werden unter anderem Hauttyp, Haartyp sowie sein Gebrauchsverhalten erfasst. Zur weiteren Charakterisierung der Probanden wird eine systematische Befragung (fachlich: Anamnese) durch einen dermatologischen Facharzt durchgeführt.

In unseren speziell ausgestatteten Laboren werden klinische Studien durchgeführt, um zum Beispiel die Hautverträglichkeit eines entwickelten Produkts zu bestätigen. Für Hautverträglichkeitsstudien werden allgemein anerkannte Methoden wie Epikutantests und eine Vielzahl verschiedener Gebrauchstests angewendet.

Mit Hilfe modernster Geräte führen wir biophysikalische Messungen an der Haut durch, um so positive Produktwirkungen auf den Feuchtigkeits- und Fettgehalt oder die Barriere der Haut zu erfassen.

Kontaktfreie, bildgebende Analyseverfahren der Hautoberflächen belegen weiterhin Veränderungen hinsichtlich Rauheit oder auch Anti-Faltenwirkungen. Besondere Messgeräte setzen wir für die Messung der Hautelastizität ein, um hautstraffende Wirkungen unserer Hautpflegeprodukte zu erfassen. Mit unserem speziellen Hautmikroskop ist es uns möglich, tief in die Probandenhaut zu schauen, ohne diese zu verletzen. So werden Produktwirkungen beispielsweise hinsichtlich der Dicke der Oberhaut oder der Verbindung zwischen Oberhaut und Lederhaut gemessen. Hoch standardisiert aufgenommene Makrofotografien der Haut in Kombination mit bildanalytischen Verfahren oder Expertenbeurteilungen ermöglichen uns, sichtbare Produkteffekte zu quantifizieren. Durch unser breit aufgestelltes Netzwerk externer Wissenschaftler stellen wir sicher, dass wir die aktuellsten und neuesten Technologien für die Leistungsbeurteilung unserer Produkte einsetzen und bereits sehr früh technologische Entwicklungen mitgestalten.

Studienteilnehmer gesucht.pdfPreviewImage

Studien­teilnehmer gesucht

Wohnen Sie in der Nähe unserer Unternehmens­zentrale in Düsseldorf? Dann lassen Sie sich von den Möglichkeiten der modernen Kosmetik­wissenschaften faszinieren! Weitere Informationen gibt es in unserem Flyer.

Alternative Methoden sind für unsere Produktinnovationen von entscheidender Bedeutung.

Schon seit Mitte der 1980er Jahre beschäftigt sich Henkel erfolgreich mit sogenannten Alternativmethoden – Methoden, mit denen die Wirkungen von Inhaltsstoffen und Produkten auf biologische Systeme sehr detailliert untersucht werden. Dazu werden beispielsweise menschliche Zellen in vitro (d. h. im Reagenzglas) zum Wachstum angeregt und deren Verhalten in Gegenwart von Rohstoffen oder Produkten untersucht.

Durch modernste molekularbiologische Methoden ist es den Experten möglich, die Zellen bis ins kleinste Detail zu analysieren und so ein tiefes Verständnis der Produktwirkungen zu erarbeiten. Wurden früher nur „einfache“ Zellkulturen untersucht, ist es den Experten bei Henkel in mehr als drei Jahrzehnten der Forschung gelungen, komplexe Gewebemodelle zu entwickeln, um so noch näher an der Realität zu forschen.

Für Modellsysteme der Haut werden zum Beispiel Hautzellen in speziellen Brutschränken vermehrt und anschließend in besondere Kulturgefäße überführt. Die Forscher haben herausgefunden, welche Signale dazu führen, dass Zellen sich zusammenlagern, um eine neue funktionsfähige Haut zu bilden. Nach mehreren Tagen ist das Hautmodell fertig entwickelt und kann für Untersuchungen eingesetzt werden. Die Wissenschaftler unterscheiden dabei zwischen Vollhautmodellen – bestehend auf Lederhaut (fachlich: Dermis) und Oberhaut

"Diese und ähnliche Gewebemodelle werden verwendet, um die Verträglichkeit von Inhaltsstoffen für die Haut oder das Auge zu bestätigen. Ein aktuelles Projekt nutzt Hautgewebemodelle für die Erforschung erbgutverändernder Eigenschaften von Chemikalien (fachlich: Genotoxizität). Ein weiterer Forschungsschwerpunkt liegt im Bereich der Hautsensibilisierung.

Das in den Henkel-Laboren produzierte Phenion® Full-Thickness Skin Model ist ein Vollhautmodell und verfügt neben der komplett ausgebildeten Oberhaut auch über die darunterliegende Lederhaut. Dieses Hautgewebemodell ist kommerziell erhältlich. Bitte kontaktieren Sie uns, um weitere Informationen zu erhalten:

Kontakt



Haarfollikelanalyse

Haarfollikelanalyse


Die Haarwurzel

Die Haarwurzel


Ein Blick auf die Kopfhaut

Ein Blick auf die Kopfhaut


Dermale Papille in der Haarwurzel

Dermale Papille in der Haarwurzel

Wir verstehen die Wirkung unserer Kosmetikprodukte bis ins Detail.

Anhand der nachfolgenden Beispiele wird deutlich, dass biologisches Wissen sowie die Verfügbarkeit von Gewebemodellen für die Entwicklung von Kosmetikprodukten von großer Bedeutung sind. Diese Modelle ähneln menschlichen Geweben in sehr vielen Aspekten und erlauben es uns, innovative Wirkstoffe für unsere Produkte detailliert zu charakterisieren und zu erforschen. 

Die Haut – zwei Quadratmeter, die vor dem Rest der Welt schützen 

Die Haut, die Schutzhülle unseres Körpers, ist ebenso Kontaktstelle wie auch Barriere zur Außenwelt. Rund zwei Quadratmeter umfasst das größte Organ des Menschen und macht dabei circa 16 Prozent des Körpergewichts aus. Dieses komplexe Wunderwerk der Natur schützt vor UV-Strahlung, Hitze, Wasser- und Wärmeverlust sowie vor dem Eindringen von Keimen wie Bakterien und Pilzen.

Unsere Haut lässt sich grob in drei Schichten unterteilen:

  1. Die Oberhaut (fachlich: Epidermis) wird fortlaufend erneuert: In rund zwei Wochen wandern tiefliegende Zellen an die Oberfläche und werden dort zu Hautschuppen, die abgestoßen werden.
  2. In der Lederhaut (fachlich: Dermis) sorgen zum Beispiel Kollagen- und Elastinfasern für die Elastizität der Haut. Hier entstehen Falten.
  3. Die Unterhaut (fachlich: Hypodermis) beinhaltet lockeres Bindegewebe und die Ansammlungen von Fettzellen – die sogenannten Adipozyten.

Wie alles, was lebt, unterliegt auch die Haut der Alterung und ihre Leistungen nehmen mit der Zeit langsam ab. Mit modernen Kosmetikprodukten unterstützen wir die Haut bei ihren vielfältigen Aufgaben und wirken mit neuartigen Wirkstoffen sowie deren Kombinationen den Auswirkungen der Hautalterung effektiv entgegen.

Unser detailliertes Verständnis der Haut in Kombination mit unseren Hautgewebemodellen ermöglicht es uns, hochwirksame Hautkosmetik zu entwickeln. Auf diese Weise gehen wir auf die speziellen Bedürfnisse der Haut ein und bieten jedem Verbraucher geeignete Hautpflegeprodukte, deren Wirksamkeit in klinischen Studien belegt ist.

Die Haare – Fasern mit besonderer Ausstrahlung

Im Durchschnitt besitzt der Mensch rund 100.000 Haare. Bei einer Dicke von 50-100 µm werden sie bis zu einem Meter lang. Der sichtbare Teil des Haares ist kein lebendes Gewebe mehr. Sein Wassergehalt liegt mit circa 10 Prozent erheblich niedriger als bei der Haut. Tief in der Haut verankert,sitzen die Haarwurzeln – komplexe „Mini-Organe“, die aus verschiedenen Zelltypen aufgebaut sind, um die sichtbaren Haarfasern zu produzieren.

Mit der Erforschung der biologischen Prozesse in den Haarwurzeln gelingt es uns, Haarkosmetik zu entwickeln, die nicht nur die Haarfaser pflegt, sondern auch den lebendigen Teil des Haares – die Haarwurzel – in seinen vielfältigen Funktionen unterstützt. Der Einsatz eines neu entwickelten Gewebemodells der Haarwurzel erlaubt uns die Erforschung optimaler Wirkstoffe und deren Kombinationen.

Der Mund – Ort des Lächelns

Die Mundhöhle ist ein weiterer Teil des menschlichen Körpers, der mit unseren Kosmetikprodukten – wie zum Beispiel Zahnpasten und Mundwässern – gepflegt wird.

Bakterien finden im Mundraum optimale Lebensbedingungen. Bereits in den ersten Minuten nach dem Zähneputzen besiedeln die Bakterien am liebsten den Zahnfleischsaum und bilden hier einen Biofilm (fachlich: Plaque). Wird dieser nicht durch eine ausreichende Mundhygiene in Schach gehalten, kann das unangenehme Probleme für Zahn und Zahnfleisch mit sich bringen, die sich auch auf den ganzen Körper auswirken können. Daher ist eine gute Mund- und Zahnreinigung entscheidend. Zusätzlich zur klassischen Reinigungsleistung sind weitere positive Effekte, wie zum Beispiel die Stärkung des Zahnfleisches, von Bedeutung für die Anwender.

Misurazione del sebo sulla fronte

Bestimmung des Fettgehalts auf der Stirnhaut

Test di compatibilità della pelle

Hautverträglichkeitstest

Misurazione dei pori della pelle

Vermessung von Hautporen

Analisi della pelle con il microscopio confocale a scansione laser

Blick in die Haut mittels konfokaler Laserscanmikroskopie


Messung der Hautfeuchte

Messung der Hautfeuchte


Hochauflösende, standardisierte Gesichtsphotographie

Hochauflösende, standardisierte Gesichtsphotographie

Misurazione dell’elasticità della pelle

Messung der Hautelastizität

Unsere Kosmetikprodukte werden mit einem Höchstmaß an Qualität entwickelt

Bevor ein Kosmetikprodukt von uns an die Verbraucher geht, führen wir umfassende klinische Studien durch, um Produktleistung und Verträglichkeit abschließend zu bewerten.

Grundlage für alle unsere Studien sind international anerkannte Standards sowie die Bewertung durch unsere Studienteilnehmer, die sogenannten Probanden. Bevor ein Proband an einer Studie teilnimmt, werden unter anderem Hauttyp, Haartyp sowie sein Gebrauchsverhalten erfasst. Zur weiteren Charakterisierung der Probanden wird eine systematische Befragung (fachlich: Anamnese) durch einen dermatologischen Facharzt durchgeführt.

In unseren speziell ausgestatteten Laboren werden klinische Studien durchgeführt, um zum Beispiel die Hautverträglichkeit eines entwickelten Produkts zu bestätigen. Für Hautverträglichkeitsstudien werden allgemein anerkannte Methoden wie Epikutantests und eine Vielzahl verschiedener Gebrauchstests angewendet.

Mit Hilfe modernster Geräte führen wir biophysikalische Messungen an der Haut durch, um so positive Produktwirkungen auf den Feuchtigkeits- und Fettgehalt oder die Barriere der Haut zu erfassen.

Kontaktfreie, bildgebende Analyseverfahren der Hautoberflächen belegen weiterhin Veränderungen hinsichtlich Rauheit oder auch Anti-Faltenwirkungen. Besondere Messgeräte setzen wir für die Messung der Hautelastizität ein, um hautstraffende Wirkungen unserer Hautpflegeprodukte zu erfassen. Mit unserem speziellen Hautmikroskop ist es uns möglich, tief in die Probandenhaut zu schauen, ohne diese zu verletzen. So werden Produktwirkungen beispielsweise hinsichtlich der Dicke der Oberhaut oder der Verbindung zwischen Oberhaut und Lederhaut gemessen. Hoch standardisiert aufgenommene Makrofotografien der Haut in Kombination mit bildanalytischen Verfahren oder Expertenbeurteilungen ermöglichen uns, sichtbare Produkteffekte zu quantifizieren. Durch unser breit aufgestelltes Netzwerk externer Wissenschaftler stellen wir sicher, dass wir die aktuellsten und neuesten Technologien für die Leistungsbeurteilung unserer Produkte einsetzen und bereits sehr früh technologische Entwicklungen mitgestalten.

Studienteilnehmer gesucht.pdfPreviewImage

Studien­teilnehmer gesucht

Wohnen Sie in der Nähe unserer Unternehmens­zentrale in Düsseldorf? Dann lassen Sie sich von den Möglichkeiten der modernen Kosmetik­wissenschaften faszinieren! Weitere Informationen gibt es in unserem Flyer.